How Healthy Is Your Heart?
Cardiovascular disease is a condition that involves narrowed or blocked blood vessels that can lead to a heart attack, chest pain(angina) or stroke. It is the leading cause of death globally, claiming more lives than all forms of cancer combined, according to the American Heart Association (AHA).
As we wrap up February – Heart Health Month – we want to discuss a non-invasive exam that lets us look at your coronary arteries to see if there is hard plaque buildup. Hard plaque, also called calcified plaque, is one indicator of coronary artery disease (CAD). Visit the AHA’s interactive library to see a clear depiction of plaque buildup in the coronary arteries.
Heart CT Screening Exam
Heart CT is a fast screening exam done without contrast on a 16-slice CT scanner at RAYUS centers throughout Puget Sound. The scan allows us to non-invasively look at the three major coronary arteries that carry blood to your heart muscle.
Plaque, which can be hard or soft, is actually a buildup of a waxy substance along the walls of the arteries, causing narrowing of the vessels. Once this narrowing reaches a critical threshold, it results in decreased blood (and oxygen) reaching the heart muscle, which manifests as chest pain and may evolve into a heart attack.
With Heart CT, we can detect and measure the size and density of calcified plaque, presenting that as a quantitative score. The higher the calcium score the greater the amount of underlying CAD and the greater the risk of a subsequent cardiac event.
Possible Results
You will be sent a report with your calcium score, along with images from your scan.
A negative test, or calcium score of “0”, is reassuring and suggests that your chance of having a heart attack over the next two to five years is very low.
A positive test means that hard plaque is visible in your coronary arteries. However, even with a calcium score of “0”, narrowing in a coronary artery may be present due to soft plaque. Soft plaque is made of fat, cholesterol, fatty compounds and blood-clotting material called fibrin.
For this reason, the results of this scan should be reviewed with your healthcare provider in conjunction with other health-related information to determine if additional testing or follow-up care is necessary.
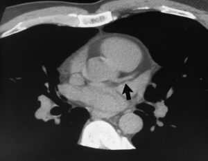
Normal Arteries
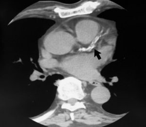
Severe Calcification
Candidates and Costs
Males age 40-70 and females age 45-70 may be candidates for a Heart CT screening exam. The exam is not usually covered by insurance and full payment of the exam is due at the time of service. Call your preferred RAYUS center for pricing. On average, the exam costs less than $200.
7 Key Factors to Improve Cardiovascular Health
These guidelines, established by the AHA, are referred to as Life’s Simple 7®. They can be a guide to you as you work toward better cardiac health.
As an organization, the AHA is using these seven metrics to track progress toward their goal: To improve the cardiovascular health of all Americans by 20 percent and reduce deaths from cardiovascular diseases and stroke by 20 percent, by the year 2020.
- Not smoking
- Being physical active
- Eating a healthy diet: view the new dietary guidelines currently in review
- Controlling your body weight
- Controlling your cholesterol
- Controlling your blood pressure
- Controlling your blood sugar
Early detection of CAD can help reduce your chances of experiencing a cardiac event by encouraging these lifestyle changes or planning treatment options with your provider.

